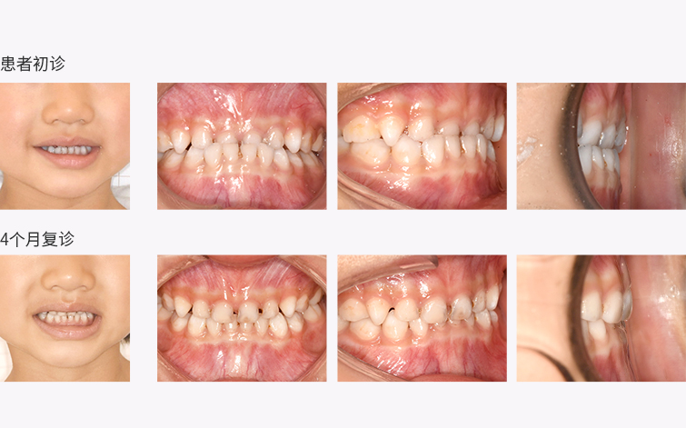
反合
患者情况:性别:女。年龄:3岁
问题:乳牙列,前牙反颌。上下颌前牙舌倾。前牙散在间隙。
矫治目标:解除反
矫治效果:前牙反

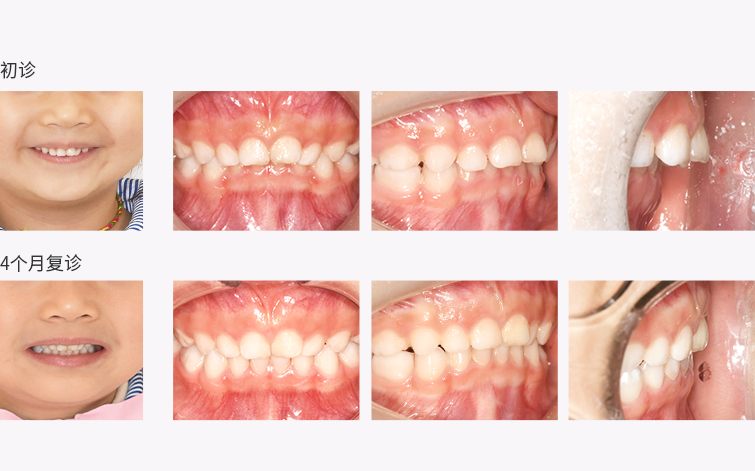
反合
患者情况:性别:女。年龄:3岁
问题:乳牙列,前牙反颌。上下颌前牙舌倾。前牙散在间隙。
矫治目标:解除反
矫治效果:前牙反

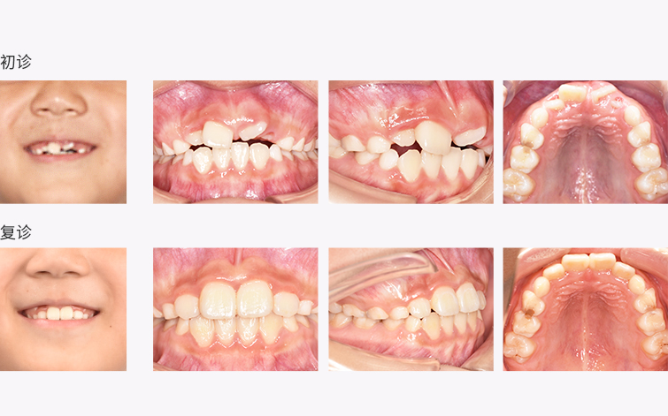
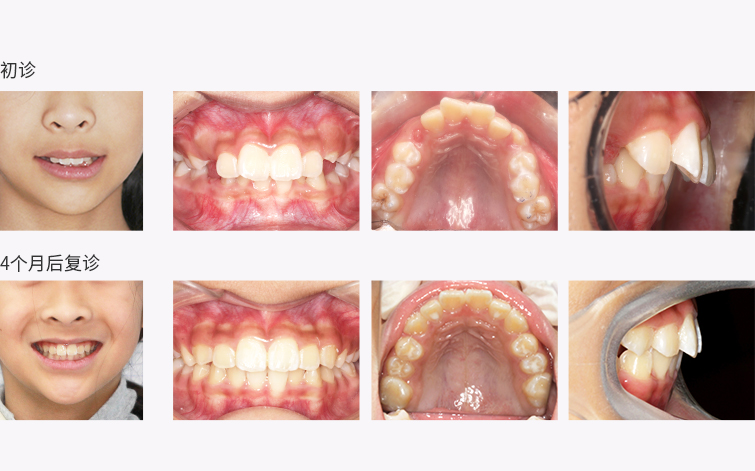
深覆合+深覆盖
患者情况:性别:女。年龄:9岁
问题:替牙列,深覆盖II°,深覆颌II°,2+2即将萌出
矫治目标:导萌建合,改善覆盖覆合,排齐牙齿。
矫治效果:深覆合、深覆盖明显改善、上合前牙拥挤度有所改善、下牙拥挤程度显著改善、上下牙弓形态显著好转。

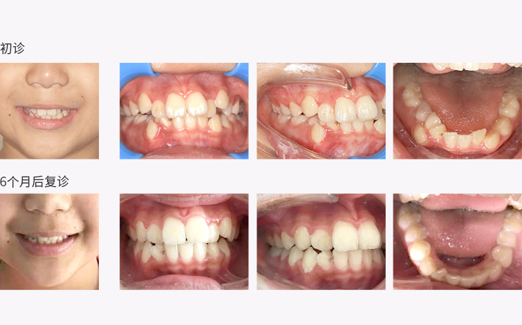
下合后缩+咬下唇
患者情况:性别:女。年龄:4岁
问题:骨性II类,低角型、下合骨发育不足、深覆盖,深覆合III°、咬下唇
矫治目标:引导下合向前,改善深覆合,纠正不良习惯
矫治效果:下合后缩改善明显,咬合稳定,前牙轴倾度改善、覆合覆盖关系基本正常、不良习惯(咬下唇)消失、正貌、测貌面型改善明显

牙弓狭窄+牙列拥挤
患者情况:性别:男。年龄:11岁
问题:上合牙弓发育不足、上下合牙列拥挤、骨性II类,均角
矫治目标:改善上合牙弓发育形态,排齐牙列
矫治效果:牙弓宽度扩大,上合牙弓形态改善明显、覆合覆盖关系基本正常、牙列基本排齐,建立正常的咬合关系、正貌、测貌面型改善明显

牙齿稀疏
患者情况:性别:女。年龄:11岁
问题:恒牙列,深覆合、深覆盖、上前牙唇倾、前牙稀疏,间隙大
矫治目标:改善牙列稀疏问题,调整覆合覆盖
矫治效果:前牙间隙关闭,排列整齐、覆合覆盖关系基本正常、咬合稳定,美观,面型协调

牙齿扭转+拥挤
患者情况:性别:男。年龄:9岁
问题:骨性II类、上前牙扭转、间隙、下前牙轻度扭转、牙弓形态不佳
矫治目标:建立正常的覆合覆盖关系,导萌建颌,排齐牙列
矫治效果:覆合覆盖关系正常,牙弓形态改善、上合前牙间隙关闭、牙列基本排齐,建立正常的咬合关系、正貌、测貌面型改善,前牙整齐,笑容灿烂

牙齿扭转+异位+拥挤
患者情况:暂无
问题:上下合牙列拥挤、43异位萌出生长、个别牙反合、中线不齐
矫治目标:排齐牙列、引导恒牙正常位置生长、解除个别牙反合
矫治效果:暂无

口腔不良习惯-吮指
患者情况:暂无
问题:深覆合深覆盖、上下合牙列拥挤
矫治目标:改善覆合覆盖关系、排齐牙列
矫治效果:暂无